(404) 531-2478
|
ATLANTA, GA
MENU
Request Consultation
Request Consultation
REQUEST CONSULTATION
Δ
First Name
*
Last Name
*
Phone
*
Email
*
Procedure of Interest
*
Procedure of Interest
Arm Lift
Avéli
BBL
Body Lift
Botox
Brazilian Butt Lift
Breast Augmentation
Breast Implant Removal
Breast Lift
Breast Reduction
Brow Lift
Chin Implants
Contour TRL
Dermal Fillers
Dysport
Ear Surgery (Otoplasty)
Eyelid Surgery
Facelift
Facelift and Neck Lift
Facial Fat Transfer
Fat Transfer
Gender Affirming Top Surgery
Halo Laser Treatment
Juvederm
Laser Skin Resurfacing
Liposuction
Male Breast Reduction
Microneedling
Mini Facelift
Mommy Makeover
Neck Lift
Products
Restylane
Skin Care
SkinTyte
SmartLipo Triplex
Thigh Lift
Tummy Tuck
Vaginal Rejuvenation
Volbella
Vollure
Voluma
I acknowledge that DiFrancesco Plastic Surgery does not accept insurance.
*
Yes
Message
*
(404) 531-2478
|
ATLANTA, GA
CLOSE
Request Consultation
Home
About
Plastic Surgery
Breast
Breast Lift
Breast Implant Exchange
Breast Reduction
Breast Augmentation
Breast Implant Removal
Breast Implant Revision
Fat Transfer Breast Augmentation
Body
Body Contouring After GLP-1 Weight Loss
Arm Lift
Tummy Tuck
Liposuction
Mommy Makeover
Thigh Lift
Body Lift
Smart Lipo
Vaginal Rejuvenation
Avéli™
Brazilian Butt Lift
Liquid BBL
ThermiTight®
Face
Eyelid Surgery
Facelift
Brow Lift
Ear Surgery
Cheek Lift
Neck Lift
For Men
Blepharoplasty for Men
Liposuction for Men
Otoplasty for Men
Gynecomastia Surgery
Male Facial and Body Contouring
Combination Procedures
Mommy Makeover
Natural Breast Augmentation with Fat Transfer
Advanced Body Contouring
Advanced Facial Rejuvenation
Breast Enhancement
Buttock Enhancement
MedSpa
Body
AlloClae
Sculptra® Buttock Enhancement in Atlanta
Renuva® Fat Transfer
Hand Rejuvenation
Skin Tightening After Massive Weight Loss
Skin Tightening with BodyTite
Face
Infini™ RF Microneedling
Chemical Peels
Diamond Microdermabrasion
Liquid Facelift
Skincare
Injectables
Botox®
Juvéderm® Fillers
Sculptra® Aesthetic
Radiesse®
Renuva® Fat Transfer
Plated Skincare
Hair Restoration
Gallery
Breast
Breast Augmentation
Breast Lift
Breast Implant Exchange/Revision
Breast Reduction
Breast Implant Removal
BODY
Abdominoplasty
Body Lift
BodyTite
Brachioplasty
Buttock Lift
Fat Transfer Buttock/ BBL
Liposuction
Mommy Makeover
Thigh Lift
SculpSure
FACE
Blepharoplasty
Browlift
Facelift
Kybella
Necklift
Otoplasty
For Men
Gynecomastia
Resources
Shop Plated Skin Science
Blog
Financing
Pay with Cherry
PatientFi
Media
Patient Portal
Procedure Pricing
Reviews
Virtual Consultation
Video
Contact
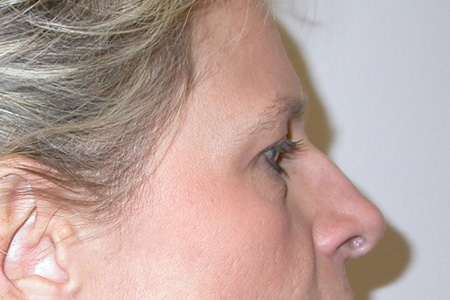
Patient #7434: Rhinoplasty
gallery categories
BODY
•
Abdominoplasty
•
Body Lift
•
BodyTite
•
Brachioplasty
•
Buttock Lift
•
Fat Transfer Buttock/ BBL
•
Liposuction
•
Mommy Makeover
•
SculpSure
•
Thigh Lift
Breast
•
Breast Augmentation
•
Breast Implant Exchange/Revision
•
Breast Implant Removal
•
Breast Lift
•
Breast Reduction
•
Fat Transfer Breast Augmentation
FACE
•
Blepharoplasty
•
Browlift
•
Facelift
•
Fat Transfer
•
Kybella
•
Necklift
•
Otoplasty
For Men
•
Gynecomastia
Gender affirming
•
Gender Affirming Female
•
Gender Affirming Male
« back to all Galleries
Contact Us
Δ
First Name
*
Last Name
*
Phone
*
Email
*
Procedure of Interest
*
Procedure of Interest
Arm Lift
Avéli
BBL
Body Lift
Botox
Brazilian Butt Lift
Breast Augmentation
Breast Implant Removal
Breast Lift
Breast Reduction
Brow Lift
Chin Implants
Contour TRL
Dermal Fillers
Dysport
Ear Surgery (Otoplasty)
Eyelid Surgery
Facelift
Facelift and Neck Lift
Facial Fat Transfer
Fat Transfer
Gender Affirming Top Surgery
Halo Laser Treatment
Juvederm
Laser Skin Resurfacing
Liposuction
Male Breast Reduction
Microneedling
Mini Facelift
Mommy Makeover
Neck Lift
Products
Restylane
Skin Care
SkinTyte
SmartLipo Triplex
Thigh Lift
Tummy Tuck
Vaginal Rejuvenation
Volbella
Vollure
Voluma
I acknowledge that DiFrancesco Plastic Surgery does not accept insurance.
*
Yes
Message
*
GALLERY
REVIEWS
CALL
CONTACT
SCHEDULE CONSULT
SCHEDULE
CLOSE
Δ
First Name
*
Last Name
*
Phone
*
Email
*
Procedure of Interest
*
Procedure of Interest
Arm Lift
Avéli
BBL
Body Lift
Botox
Brazilian Butt Lift
Breast Augmentation
Breast Implant Removal
Breast Lift
Breast Reduction
Brow Lift
Chin Implants
Contour TRL
Dermal Fillers
Dysport
Ear Surgery (Otoplasty)
Eyelid Surgery
Facelift
Facelift and Neck Lift
Facial Fat Transfer
Fat Transfer
Gender Affirming Top Surgery
Halo Laser Treatment
Juvederm
Laser Skin Resurfacing
Liposuction
Male Breast Reduction
Microneedling
Mini Facelift
Mommy Makeover
Neck Lift
Products
Restylane
Skin Care
SkinTyte
SmartLipo Triplex
Thigh Lift
Tummy Tuck
Vaginal Rejuvenation
Volbella
Vollure
Voluma
I acknowledge that DiFrancesco Plastic Surgery does not accept insurance.
*
Yes
Message
*
Home
About
Plastic Surgery
▼
Breast
▼
Breast Lift
Breast Implant Exchange
Breast Reduction
Breast Augmentation
Breast Implant Removal
Breast Implant Revision
Fat Transfer Breast Augmentation
Body
▼
Body Contouring After GLP-1 Weight Loss
Arm Lift
Tummy Tuck
Liposuction
Mommy Makeover
Thigh Lift
Body Lift
Smart Lipo
Vaginal Rejuvenation
Avéli™
Brazilian Butt Lift
Liquid BBL
ThermiTight®
Face
▼
Eyelid Surgery
Facelift
Brow Lift
Ear Surgery
Cheek Lift
Neck Lift
For Men
▼
Blepharoplasty for Men
Liposuction for Men
Otoplasty for Men
Gynecomastia Surgery
Male Facial and Body Contouring
Combination Procedures
▼
Mommy Makeover
Natural Breast Augmentation with Fat Transfer
Advanced Body Contouring
Advanced Facial Rejuvenation
Breast Enhancement
Buttock Enhancement
MedSpa
▼
Body
▼
AlloClae
Sculptra® Buttock Enhancement in Atlanta
Renuva® Fat Transfer
Hand Rejuvenation
Skin Tightening After Massive Weight Loss
Skin Tightening with BodyTite
Face
▼
Infini™ RF Microneedling
Chemical Peels
Diamond Microdermabrasion
Liquid Facelift
Skincare
Injectables
▼
Botox®
Juvéderm® Fillers
Sculptra® Aesthetic
Radiesse®
Renuva® Fat Transfer
Plated Skincare
Hair Restoration
Gallery
▼
Breast
▼
Breast Augmentation
Breast Lift
Breast Implant Exchange/Revision
Breast Reduction
Breast Implant Removal
BODY
▼
Abdominoplasty
Body Lift
BodyTite
Brachioplasty
Buttock Lift
Fat Transfer Buttock/ BBL
Liposuction
Mommy Makeover
Thigh Lift
SculpSure
FACE
▼
Blepharoplasty
Browlift
Facelift
Kybella
Necklift
Otoplasty
For Men
▼
Gynecomastia
Resources
▼
Shop Plated Skin Science
Blog
Financing
▼
Pay with Cherry
PatientFi
Media
Patient Portal
Procedure Pricing
Reviews
Virtual Consultation
Video
Contact
Please ensure Javascript is enabled for purposes of
website accessibility